Andy's Prostate Blog Details
2013-2025

From Focal Therapy to Radical Prostatectomy


Select a link below, or just start reading from here for my experience from 2013 onwards (warning - it's a long read!).
Note that what I have written relates to the time of writing.
I started writing this blog shortly after my Cryotherapy procedure in 2014.

Brief introductory summary:
Autumn 2013: PSA 6.2. (My age then: 60 years). Cryotherapy spring 2014. PSA then 3.1
Autumn 2018: PSA 5.2. HIFU spring 2019.
Then in 2020: radical prostatectomy.

Continue reading my long history below, OR - click here for latest updates.

Post-surgery consultation results Cryo Surgery summarised Catheter experience My recovery post-Cryo

MRI scan

PSA readings Why Emberton?

Useful links
1 update

Hospital referral address                

 

Found this page helpful? Got comments?
Want to share
your experience with me?

Contact me

Contact me

 

Recommended route for all men aged 50 or over:
1. Have a PSA blood test
at least once a year.
2. If the value is above 4, then repeat every 6 months.
3 If, over 1 to 2 years, the value shows a steady increase, then:
4. Ask for a Prostate MRI scan.

Nearly 10 years after I started this blog, the BBC News has caught up. See these two videos from 2023:

SEE THE BBC BREAKFAST VIDEO CLIP from 9th August 2023 - mentions NICK OWEN (opens new window)
The program summarises many of my conclusions, that you will read later below, in this blog.

 

And about 1 week later, on BBC National News, the MRI focus is again mentioned,
this time discussing the idea of a national screening program. (opens new window)

What they fail to mention in the video above, is the value of monitoring a trend in PSA levels.
See my blog below for how this was successfully done in my case.

However, it is true that, had I had an MIR scan around 3 years earlier (than 2013) say, the year 2010,
then my tumour would have been discovered at an earlier stage.
But my feeling is it's doubtful that this would have been of much significance,
since I would have likely had the same biopsy and treatments that I actually had.

 

I will admit that this blog may appear a bit disjointed. However, I have built it up over several years, from the time I was originally diagnosed with prostate cancer in September 2013.

To begin with, it was a shock to hear my diagnosis, and hence my earlier notes may have been one way of “venting” my feelings during that time.

However, without completely re-writing the whole blog, I
still hope it will give some helpful details I have discovered during my experience.

Please note:
this blog includes a summary of what you can find elsewhere on the web.
My purpose of this blog is to share my personal experience of my Prostate Cancer investigation, diagnosis and treatement
from a patients point of view.
It also contains some personal medical information about myself.
I am happy to share this, because my desire is to try to
raise awareness of the improved diagnostic and treatment procedures for early stage prostate cancer. This I hope to do through describing my personal experience.

Note that the MRI I had and Template Biopsy are available on the NHS (see discussions later). Most of my treatments were carried out on the NHS.

Obviously, I am not a qualified medical practitioner.
I am a patient, describing my experiences, and commenting on my observations. I think the legal term is: I'm "acting entirely in a personal capacity" (!)
Always consult with a qualified medical practitioner before making decisions regarding your own personal treatment.


I would advise every man aged 50 or over to have an annual PSA blood test.

This can be arranged through your GP. And, yes: if you think it is difficult getting to see your GP - Persevere!


It is much less hassle than having Prostate Cancer develop undetected, until it is too late!

Around 37,000 men in the UK are diagnosed with prostate cancer each year

It is a medical statistic that black men are twice as likely to get prostate cancer than white men.

I am 61 years old (as of April 2014), and had a significant prostate cancer tumour, but only knew about it originally thanks to having 6-monthly PSA blood tests. I had no other symptoms.

Below are my PSA readings over the past 6 years (pre-procedure).
See also
comment and latest results

2009

2011

Mar 2012

Jan 2013

June 2013

Jan 2014

2.61

3.94

4.19

4.93

6.2

5.8

To compare these PSA readings with those up to 2018, click HERE

In 2013, my cancer tumour was then definitely confirmed using the technique in the video below (MRI September then TPM Biopsy October) (and, no: I'm not the actual patient in the video, but I would have looked much the same!)
Please note that this Template Biopsy is now available on the NHS at UCLH and other NHS hospitals

Warning: contatins some graphic content

I had the above TPM Biopsy in October 2013, under a very short general anaesthetic. As Emberton explains in the video, it's important that the patient is very still. It was probably lots more comfortable than having it under a regional (local) anaesthetic. My recovery was about 3 hours, so not much different to recovering from strong sedation.

For those of you interested in my actual biopsy samples taken, click here for the histopathology report sheets.


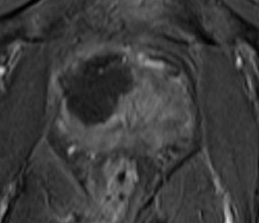
Below is my diagnostic MRI scan (September 2013), showing an "80% 1cc likely tumour" (Red areas on drawings)

My TPM Biopsy (as discussed in the video above) then confirmed it was localised prostate cancer (12mm Gleason 3+4).

For those of you interested in my actual biopsy samples taken, click here for the histopathology report sheets.

The treatment technique I initially chose was Focal Hifu.
This appears to be an excellent treatment, but see later.
IMPORTANT!! My cancer WAS NOT detectable on:
1. Digital (finger) rectal examination
2. Ultrasound scan (rectal)
3. Emberton said that the more common TRUS biopsy would most likely have not detected my anterior tumour. See
first video regarding this.

Hence it's essential to start having an ANNUAL PSA blood test once you reach age 50. I anticipate I'll do that for the rest of my life, and so should every man. A blood test is SO simple!

If you want to skip straight to my results after my surgery, please
click here

The video below explains HIFU, and also mentions Nano Knife:

Warning: contatins some graphic content


Back to top

If you want to know more details of what happens in the above video, the Patient Informatioin Sheet below includes details of HIFU. Please note that this also includes extra after-test details, which only apply if it's done as a trial at UCLH. I was originally going to have it "off-trial", hence these extra after-tests wouldn't have applied.

click here For the Ultrasound HIFU trials Patient Information Sheet, click here (these trials have now finished) -
but the study continues.


Originally Emberton was going to give me Nano Knife privately at Princess Grace Hospital. However, since my insurance didn't cover that hospital, I transferred to UCLH for my cancer treatment.
At that time, Nano Knife was being trialled at UCLH on the NHS, but I didn't qualify since I also had other residual prostate cancer, see my
diagnostic MRI scan above.
Every patient in England has freedom of choice to selelct their preferred hospital
See the
referral contact details below.
I wanted to continue treatment under Emberton.
UCLH was not my local hospital, so I specifically requested to be referred to it.

I originally said I'd have HIFU at UCLH, but on reflection, considering the location of my tumour, I decided that Cryotherapy would be better, since it wouldn't have also ablated my prostate near the rectum.

 

WHAT HAPPENS DURING CRYOTHERAPY?

Watch this video made by Galil, the designers of the machine used on me.

The above video appears to show whole gland therapy, rather than the focal therapy I had. Emberton says I should end up with only about 5cc of my prostate ablated, which sounds "pretty good", should leave around 23cc of my 28cc prostate! Unless, I can come up with a more precise therapy!

For the UCLH patient info for Cryotherapy, click here

I had the cryo surgery on April 22nd 2014. To read how it went, - click here

 

Back to top

A further brief discussion of the advantages of these diagnostic and therapy methods was aired on a BBC Inside Health radio program in January 2014. See the video below:

Nano Knife appears to offer considerable advantages over many other forms of focal therapy. It may cause less localised good-tissue damage, plus offer a quicker recovery time. Also, the precision with which it can be used may make it ideal for destroying very small tumours.

The following notes were made early on in the year 2014, during my investigations of my options for my prostate cancer treatment. [this note added 24th Dec 2014]

[March 2014]: UCLH are undertaking a new treatment, called IRREVERSIBLE ELECTROPORATION (‘NANOKNIFE’). This may offer slightly more localised treatment, but is only being offered to patients with no significant cancer outside of the anterior (away from the rectum) side of the prostate. I did not qualify for this.

Also see this summary article re. the UCLH trials.

For the UCLH Patient Trials Info Sheet on Nano, click here

[22 August 2014]: The trials of Nano at UCLH as part of the Promis trials, have now finished -

but the study continues.

To see the Webcast where Prof Emberton answers viewers questions, click here.
NanoKnife is mentioned in the video at the 19 minutes position, when he replies to my email.

 

Surgery experience

[Tuesday 22nd April 2014] Cryo went well yesterday . Had typical post anaesthetic vomiting reaction.

It was delayed for about 3.5 hours. The reason enables an insight into the issues that must regularly face the hospitals.

I had even got as far as lying on the trolley in the anaesthetic room. Had a cannula inserted.

Then, possibly just in time,
before they started the anasthetic, I was told I’d have to be wheeled out and wait about 45 minutes.

The ultrasound monitoring machine was still being used in
another theatre. They needed this machine for me.

I could understand the reason – it was being used for a TPM biopsy (see
video for chat about that).

However, after about 90 minutes waiting, I discovered, by asking, that another patient had now gone into “my” theatre, who presumably didn't need that machine for their operation (which may have been, therefore, a more serious operation than mine).

Whilst it
was frustrating, having had myself the TPM biopsy last year, and knowing whom the
other surgeon was who was using it at UCLH, it made it easier to understand and tolerate.

I was discharged from UCLH following morning.

Surgeon was also thinking of zapping the right lateral (see MRI pic), but I said only do anterior index.

No pain from cryo – instead, just discomfort now wearing 7-day catheter, to be removed 28th April.
Won’t know initial results until after
MRI on 10th May.

Other side effects- I assume it’ll take several months before the extent of the various possible permanent side-effects can be determined.
Surgeon said possibly only 20% chance dry climax.
Had visit from district nurse 2 days after surgery, who helped with a few catheter issues.

Surgeon emailed me a few days after surgery, said:
"Hi Andrew - yes spoke with you in recovery!" [Although I don't remember it - Amnesia after general].
"Procedure went very well and I'm very happy with the way it went.
"Yes we use a local anaesthetic [on perineum] at the end of the procedure.
I agree the catheter causes more discomfort than the procedure but hopefully will be out soon.
MRI in 2 weeks will give us a good idea about treatment but I'm confident the [index] lesion was well treated."

Hoping to return to work on 6th May. Surgeon suggests taking it easy: no cycling for 6 weeks (pity - there's a tube strike next week!), and "no heavy lifting or straining" for 4 weeks. Today [1st May] I bought a box of printer paper. So, asked the PC World assistant to carry to my car. Then, brought it up to my flat max. 2 reams at a time.

[22nd May 2014]: Very pleased to report that my continence and erectile and ejaculatory functions all appear to be largely unaffected.
[29th June
2014]: Ejaculate does seem to have diminished over the past month. However, it's difficult to assess it, since it was never that consistent before my surgery.

Catheter experience

[28th April 2014]
6 days wearing a urethral catheter – uncomfortable, and often painful! The paracetamols they gave me were a great help, although they were really intended for any
other post-surgical pain, which I actually didn't have. So, a great relief to have the catheter removed today!
Yesterday felt like I had a fever (probably my body trying to reject the catheter, but controlled by the antibiotics). (see also
surgeon's comment on the catheter above)
Catheter removed today – far less painful than I thought . The clinic nurses told me to "take a deep breath" twice during the removal. It sounded like I was giving birth! LOL!

Very pleased with initial urine control test results – NO leakage! And 100ml retention was considered ok by nurses, and I think it may improve with time. Pee-ing is quite uncomfortable at the moment, but I know from experience [as after my TPM biopsies] that that will disappear within a few weeks.
And again, a great service from all the staff and nurses at UCLH!

[4th May] Having second thoughts: it may have been my general reaction to the surgery, rather than the catheter alone. Guess maybe part of healing process? Don't feel to terrific today, either. Think my walk of 2.5 miles to Church this morning for exercise may have been a bit ambitious!

Why did I choose Emberton as a urologist, rather than a urologist at my local Croydon Hospital?

[3rd May 2014]
Simple answer is, from Google

Retrospetcively, I can see it was an answer to prayer. He is one of the top urologists, and specialises in minimally invasive solutions for prostate cancer.

I have private medical insurance because my company has a group scheme. So, I decided to find a private urologist close to my City office, so as to minimise time off work for consultations. Google flagged Emberton up, since he runs a private clinic in addition to the work he does at UCLH, (see “
useful links” section). Because of his desire to have much of his work in the public domain, it was easy to see the techniques he was using, before my first consultation. Simply googling his name brings up much about his work on the web, including youtube.

I’m thankful to God that I found him, because before then, all I knew about was the radical treatments: prostatectomy and radiation, neither of which are necessary for my condition,
unless the patient has a personal desire to have the whole prostate removed. Also, I'd never heard of the TPM biopsy, only the TRUS one. See the
first video on this page, for a discussion about this.

So, why am I now being treated and monitored by his team at UCLH, which is an NHS hospital?

Well, my company medical insurance doesn’t fully cover Princess Grace hospital, which he uses for the treatments. I was happy to pay £1,000 towards the TPM biopsies, but Nano Knife would have cost me around £4,500, plus more if I needed further surgery because of complications.

Hence, I’m now over to UCLH. It’s a really great hospital. It has a more relaxed atmosphere than what I’ve experienced at some other NHS hospitals. And, the surgical treatment is identical to what you get in the
private hospital. In fact, most of the surgeons operate in both hospitals! The obvious disadvantage is longer waiting time at UCLH. However, to me, that had two advantages:

1. It allowed me more time to study my condition, and consider the various options. True, my final cryo treatment choice is very similar to what he would have done privately within about 10 days. But, for me, there’s a great advantage in understanding more about my condition.

2. It means that I can now pass on my experience here, as an NHS patient. That’s what the majority of you who read this would come in as, should you need to be referred to the UCLH team.

For Emberton's referral details, click here

PSA readings: see also latest tests and results

Emberton said that, ideally, I should have gone to him for the MRI earlier, when my PSA readings were about 4.

PSA readings can vary, it seems, by as much as nearly 1, in my case. One of my relatives PSA read 4.5, then 6 months later, about 2.5! (It seems unlikely that he has cancer).
Hence, I get the impression that "4.19" could really be "3.8" or "4.6". However, it is the steady increase (from about 2 in 2009 to about 6 now) that is the more meaningful indicator.

PSA readings can be high merely for an infection, not always cancer.

In my case, and for general prostate cancer screening, the important thing seems to be observing the trend over at least 3 or 4 readings, spaced about 6 months apart. This is how my (excellent) GP advised us to monitor my PSA.

Personally, I would have thought it better to give figures rounded up/down to the nearest whole number, without bothering with the decimal place.

Prostate cancer is
slow to develop: you won't suddenly get it "breaking out" and killing you in 6 months! It's easy to think it might, because, sadly, some other cancers can do that. But not prostate.

Please note that it is very easy to have annual or 6-monthly PSA tests. Mine were taken at my very excellent NHS GP surgery (but obviously then sent off to be analysed by the path. lab. at the local hospital). I had them done at the same time as my cholesterol tests (same single blood sample taken, but 2 parameters checked for by the path lab).

You have every right, even under the NHS, to be told your medical test results. My GP happily phoned me up each time, to discuss them.

It will be interesting to see by how much my PSA reading has dropped since my surgery. I'll publish the figure when I've had my next test (I now know this will be in November 2014).

[6 June 2014]: As my GP has just reminded me, PSA can also be an unreliable marker.
It could equally well signal an
enlarged prostate, and not necessarily cancer.

See this article

However, I still feel that's erring on the safe side.

All it takes is an MRI to verify if prostate cancer is present.
That's a
test, not treatment. So, it can't be classified as over-treatment.

In my case, I eventually had cryotherapy only becase the initial MRI showed an 80% likely tumour. Hence, over-treatment did not occurr: I needed the treatment.

 

Found this page helpful? Want to share your experience with me?

 

My MRI scan after my surgery

[10th May 2014, Saturday]: Had my post-surgery MRI scan this Saturday morning in the NHS UCLH hospital. Was pleased with their efficiency: no waiting around.

Also, the radiologists were happy about my taking the one Temazepam 10mg (as a mild sedative) about 20 minutes prior to the scan; they agreed that about 1 hour "hanging around" after the scan should render me ok to travel on public transport.

Well, did that help? Answer: yes! Certainly didn't feel claustrophobic like I did last year (for the results of that MRI, see above.

So, what will be done with the results? Well, my consultant will receive the report, and I expect a consultation to discuss it soon.

You notice I had the radiologist report for my first MRI. Well, I asked the radiologist if I could similarly have that, plus the full CD of all images, after my scan today. I was told to contact them during the next working week. There would be a charge to pay.

[13 May] Picked up copy of CD of MRI images today-there was no charge, since I got them within 40 days. Was told that the radiologists don't also give a detailed annotated report as for my first MRI. I now realise why - this second MRI merely looks for the ablated area, so will not report on remaining cancer, I presume.

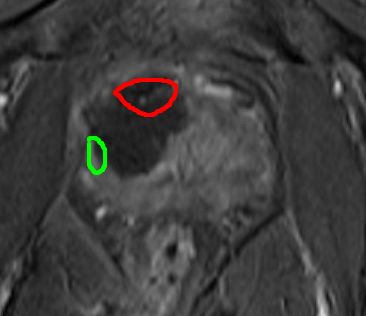
The image below shows the cryo ablated (destroyed) area-
the
dark area. The
surgeon says "it looks very good", so I presume that means he ablated an ideal area.

(Remember: "left" in the image is the right hand side of my body)
I must say, the area ablated looks
much larger than the red area marked on my
first MRI. However, the surgeon did say that he would target an area a little larger than that, to be sure all the index lesion was killed off, plus I guess the precision of the cryo comes into play.

If, like me, you ask for and get your own CD copy of your MRI images [which you have every right to do, free, even on the NHS], you may need to download a MicroDicom viewer to be able to view the pictures. This is the one I used for Windows: Click here for the viewer it's free for 30 days (trial license). This "RadiAnt" version is incredibly good! it handles both my private pre-op images and my post-op NHS ones, unlike the first viewer I downloaded and tried. You can even measure portions of the image, in linear and square quantities! There are even better viewers for Apple Mac. Very limited choice for Android, don't know about iphone.

[15th May]: follow-up appointment to discuss things with the surgeon arranged for 28th May. PSA blood test yet to be arranged, but been told will be around 2-3 months time (update - see below). Need to note down questions to ask him.

See "post-surgery consultation" for more details.

[13 June 2014]: I'd be interested to know what tissue has replaced the tumour and good tissue that was ablated. Some months ago, "scar tissue" was mentioned by another surgeon whom I talked to at UCLH.



 

 

 



Latest updates follow here - my attempt to keep a log of tests, procedures and results that are continuing
Most recent results are listed first.

Contact me

Update 27th July 2025 Latest reading:
My PSA reading in November 2024: less than
0.100 ug/L which, as before, means it is likely undetectable. I would prefer it taken to a better resolution like before, but they won't.
Continence: still the same as before. Only occasional leakage, so those self-fashioned pads mentined below are adequate.

Update 4th March 2024 (yes, I now have annual check taken by my GP nurse or local hospital bloods clinic - was GP nurse this time. I have had it more frequently before, but this time my GP checked my UCLH discharge instructions, which says it should be annual)
My PSA reading: less than < 0.014 ug/L which, as before, means it is undetectable.

Erections: Standing or kneeling up, without Sildenifil 50mg, with stimulation, I can get reasonably firm erections. Often, but not always, by taking one Sildenifil 50mg about one hour before, I can also get an erection lying down. As before, not being married, can't tell if it's adequate for intercourse.

Update 27th February 2023
My PSA reading: less than 0.014, "which is undetectable", says my GP.

Update 24 January 2023: Continence: still sometimes leak a very small amount if I cough or strain a bit, but easily absorbed by one of my "home-made" pads (see earlier).

Update September 2022: It does not appear that I will ever return to my pre-surgical continence. I will always have a weakness, although (see below), I can often manage a whole day without leakage.

Update 9 August 2022: PSA level less than 0.01, hence classified as undetectable.
So my next PSA test is due in August 2023, although, like before, I may have it earlier if it's taken at the same time as any other bloods
before then.

May 2022
Continence: Very much improved - now, it's been 2 years 2 months since my surgery.
Hardly ever leak, except sometimes (not always) when straining to pass wind, or having just finished a cycle ride and changing from firm-fitting cycle briefs to normal underwear. The hospital told me that's because I've been sitting on my perineum.
I can normally manage a whole day without one of
my small pads, however I've found one advantage in using them: I can wear the same underwear for 2 or 3 days, since the pad absorbs moisture and odours.

Erections: with physical stimulation, I can now get reasonable erections, to the extent that Sildenifil 50mg makes no improvement - I don't appear to need them. Don't need the pump either. Not able to tell if it's adequate for intercourse, though.
I don't, hower, get
spontaneous erections like I used to, but I do sometimes get a slight spontaneous lenghening, althugh it's not firm.
So, maybe there
can be hope this will improve further with time.

January 2022
Now "signed-off" from the hospital back to my GP.
Latest PSA less than 0.01 (=undetectable)
If it rises above 0.l, then GP is to contact them.
Also if any issues I can email the clinic nurses any time.

When I asked why not GP contact them if PSA rises above a lower level (say, 0.03), they said they'd not be able to detect a reason at that low a level, i.e., an MRI wouldn't show anything. Anyway, I no longer have a porstate to perform an MRI on!

Leakage: as far as I'm concerned, it plateaued about a year ago [but see above]. Still only occasional leakage when caughing, straining, which is not uncommon for men of my age (nearly 69), even if they haven't had a prostate operation.

Erections: very good using 50mg Sildenifil together with stimulation. Also can get a reasonable erection without, sometimes.

4th June 2021
My progress so far.
Had teleconsultation with Andrology Registrar regarding my erectile disfunction.
I was able to report that Sildenafil 100mg gave me good erections. Also reported the
cyanopsia (blue tint to colours) that I get in my vision for a few hours with the Sildenafil. He said that's not a problem, so long as it doesn't persist continually.

Still only get erections by doing physical stimulation. Was told that might never improve, due to having had only one nerve spared (see below). He both nerves would have needed to have been spared to make that a small possibility.

But he did emphasise the importance of getting erections reguarly (not necessarily every day), to prevent penis shortening.

And he mentioned something I'd not thought about - for younger men, miltiple nightime spontaneous erections are normal, which maintains penis length. This diminishes with age, and has dissapeared altogether in my case.

He said either use Sildenafil or the pump to obtain an erection, for the above reasons. But it's likely, I think, that using my constriction device (see below) may be a third method; however, my personal thought is that this merely maintains erections; it doesn't of itself increase the blood flow, like Sildenafil or the pump does.

He's now discharged me back to my GP, saying I can always ask to be re-referred back to him in the future, if the need arises.

4th March 2021
Teleconsultation with prostate clinic nurse.
Was pleased to be able to report slight improvements all round.
Very slight improvement in continence: still hardly need to wear a pad.
Caughing can cause very slight leakage if I don't think to do a squeeze beforehand, but even then only a small amount, much like just after shaking after a pee.
Also after cycling; as I suspected, the hospital today confirmed that would be because I've just been sitting with my perineun on the saddle. Short-term effect on my lower sphincer.

ED: using pump has made a slight improvement (bear in mind that I could already achieve a reasonable non-rigid erection before having it, see notes earlier), but still no firm erections without a constriction device.
Have now fashioned my own one, based on an item for sale online, see below. Made using part of a drawstring from an old pair of swim shorts, and a toggle!
Using this, and without the pump, I can achieve a fairly firm erection. But no spontaneous erections; still need to use physical stimulation. Obviously no ejaculation. Orgasm and climax remains very good. (To reiterate: they spared one of my nerves during surgery - "unilateral nerve sparing")

General comment from hospital is that I'm doing very well, considering I also had HIFU in 2019.
Both continence and ED likely to further improve over time.

14th January 2021
So, how have I been getting on with the pump?
First, I'll mention a few tips.
The
lubricant they supply: I figured it'd run out after around 20 uses. Then I'd need to order it free (I'm over 60) on prescription again.
So, as an alternative to the lubircant, I made up a strong hand-soap/water solution. Whilst runnier than the lubricant, it is sufficient to make a seal. They claim other lubricants (like you can get online) will damage the rubber rings etc. But I reckon that soapy water is ok, since that's how they suggest you clean the pump tube.
As they mention in the instructions, shaving pubic hair around the base of your penis helps achieve a vacuum seal. I use a "
personal grooming shaver" - there's loads out there to choose from.

Has it helped?
Well, in my case, over the months since my surgery in February 2020, I've been trying to occasionally get an erection. So, since I've likely already been rehabilitating my penis, this pump hasn't made a lot of difference.
But I've not been able to achieve as hard an erection without it before, but I do need to use their tension device (ring) to maintain that erectioin.

My overal opinion
When used to get and maintain an erection, it's not as comfortable as I'd hoped.
Maybe I'm still using too small (tight) a tension device (see video). I get an unpleasant pinch feeling.
I've yet to try one of the larger tension devices that came with the pump.
Since I don't have a wife, I can't comment if I get an erection suitable for insertion/penetration. However, from my experience when my late wife was alive, I think I could manage insertion with a less hard erection - using a looser, less effective tension device. But obviously, this will depend on individual couples.

Possible beneficial secondary effect:
Improved flow:
This does seem to have improved since using the pump! In fact, my flow when voiding is better than it was before my surgery!
Also, I think (difficult to tell: may be due to just being more relaxed) it helps me to not get up so often in the night. I was typically getting up for the bathroom twice until about a month ago - now it's normally only once a night.

Important observation
I still do not get a spontaneous erection. I can "work-up" a reasonable, but not "hard", erection, without the pump, but using my improvised "rubber-band" ring. If I do this just prior to using the pump, find I obviously get a hard erection (in the pump) quicker.
It takes
a lot longer for me to "work up" an erection without the pump, than it did before my surgery. I guess this is because there's no spontaneous erection possible yet.

Will spontaneious erections ever return?
From what I've read/heard, maybe in a few years time.
But, I'll keep you posted!

27th November 2020
Andrology appointment at UCLH
Purpose: to try/learn how to use a penis pump.

Was instructed and supervised by the clinician. Yes, really on myself. Yes, he firmly locked the door and checked the window blind beforehand!
Basically, it was how you see in the video below:
If you don't see the video below, then click here

Was it effective? Very! Obtained a pretty firm erection, which I've been unable to do even when using my own improvised penis rings.

The main purpose for me at present, is to rehabilitate my penis, reather than only using it for getting/holding an erectioin.

Did I bring it home? No, it was his demo version. But he was able to see what size rings I needed.

He was effectively a clinician-representative for the iMEDicare Ltd company. He gave me a list to give my GP of all the relevant items, the idea is that my GP will then write me an NHS prescription for it.

7th November 2020
Urine leakage
Thankfully, I'm noticing a significant improvement, for which I praise God.
Most days, I now do not wear a pad or any part of one whilst indoors. I can squat without any leakage*, and when caughing only occasionally a slight feeling of leakage, but no significant soiling of underwear - not much different to normal pre-surgery after-urination dampness. I'd like to see if I leak at all in a pad next ime I'm outdoors for a significant lenghth of time, before I'm confident enough to not wear a pad then*.

This is most encouraging, and may indicate that, buy next summer, I'll most likely not need pads at all, and will be back to normal!

*1st update 20th November: squatting and leakage: I do get some leakage if I perform squeezy exercises whilst squatting with my lower back against my sofa; kind-of half sliding off. This only happens during the fast squeezes. It's effectivey sqeezing and relaxing every second, and the quick relaxes are probably close to relaxing when pee-ing. Will discuss on Thursday 3rd December during my hospital teleconsultation.

*2nd update 20th November: I have managed to take short outdoor walks without any pad, and normally have not leaked.


Erections
By using my own improvised penis ring (two very small rubber bands!), I almost get the erections I did before my surgery. But no spontaneous erections yet (without stimulation, and no "early morning boners").
Climax remians good.

27th August 2020
Hospital telephone consultation
Prostate clinic nurse Karen from UCLH phoned.
I was able to report my improvements as
below.
She reiterated that my PSA of 0.01 meant an effectively undetectable level, which is very good.
My leakage - she said that I was doing very well, particularly considering that I've had two lots of focal therapy over the years, before my ultimate radical prostatectomy.
She said that I should continue with squeezy exercises, it should speed up my probable full restoring to not needing pads. So I'll try to increase from my present 1 a day.
I told her also of my recent ED results (see
below), which she noted.

My next UCLH appointment is 26th November, for a physical consultation with the Andrology team to have a penis pump demonstrated. The mind boggles!

25th August 2020
Urine leakage: improved from a few months ago; very little, some days none at all. Mostly if I cough or squat then stand up.
Still doing one squeezy exercise per day, but I feel it now makes no difference - I've plateaued to no further improvement. From what I've heard, I may be completely leak-free in about 1 year's time.


Pads I'm using:: Boots Staydry Men Shields
For use around the home, and occasional short expeditions outside, I cut each pad in half, and add a bit of double-sided tape! But for a full day or more away from home, I wear one whole pad. This is for my own confidence; the half-pad would still probably be adequate for me.
Update: have since much improved - see updates above in 2022.

 
     

21st August 2020
PSA blood test result from UCLH: PSA = 0.01 (compare with 0.03 on 15th May)
UCLH intepret that as undetectable. So, praise God, no indication of any residual prostate cancer!

21st August 2020
ED results
Picked up from the chemist, Sildenafil, (sold under the brand name Viagra among others) 50mg tablets. These were requested by UCLH to my GP.
Supposed to improve erections.
Tried one: helped a little, but not a reasonably firm erection until I used a small rubber band (as an impromtu penis ring) at my penis base.
Climax seems to have reduced these days.
Don't have a wife, so can't comment re. "firm enough erection for intercourse" etc, but my guess is that I might have managed it

28th May 2020
UCLH Follow-up consultation with Prostate Cancer Nurse
A couple of extracts from her letters afterwards:
[To
Professor Ralph]: "..........He has not noted any return of potency. He wishes to be seen in your clinic and explore treatment options that is available for him. He also would like to be shown how to use the vacuum pump for penile rehabilitation. I will be grateful if you can offer him an appointment to be seen in your clinic.

[To my GP]: "...advised to [perform] [squeezies] a maximum of 5 times/ day instead. As performing a lot of repetitions may not help build his pelvic floor muscles." I had stopped altogether, since it didn't seem to be reducing my 'leaking' any further.
i'm planning on doing 3 per day.

23rd May 2020
I've found I can manage with the
normal pads.
Also, I use only half a pad, cutting it lenghways along the fold, then adding my own double-sided tape on the waterproof side. This may not work once I get more active if/when I return to work; I may need a full pad.

Next consultatioin (presumably by telephone again) with the clinic nurse on 28th May.

So, what's happend over the last few months?
Well, my recovery at home has merged into my being furlouged, because of the national lockdown.
To help my "mental health", I've found something to do for the NHS.
See what you think of my efforts!
So what of my recovery? It's been an exceptional experience!
I've seen the hand of God in this: my cystogram and catheter removal was originally booked for more than 3 weeks after my surgery!
Not only did I not want the wear a catheter that long, but the worsening Covid-19 situation was steadily shutting down routine hospital procedures.
However, with the help of the excellent prostate nursing team, contactable by email, that appointment was brought forward to 12th March.

MY PSA as of 15th May: 0.03 ug/L. As far as I am concerned, that means not measureable!

31st March 2020: Telephone consultation with Dr Anthony Ta.
Histology report on my removed prostate:
All good, praise God! Cancer is well confined to prostate, not spread to the capsule (thin layer of connective tissue that covers the prostate). So, no further treatment required.
Normally assessed as complete cure after results (probably PSA) clear after 5 years.

Impotence:
Not really tried getting erection at this early stage. And, being widowed, I'm not to bothered. To me, the more important issue is continence.
Dr Ta said that ultimately, I'd be eligible for Viagra, a penis-ring and pump! But, we shall see if I bother.

Returning to vigorous exercise:
At the earliest, he said 6 weeks, and even then, gently ease back into it. My interest is cycling.
"Most of the internal tissues will have healed by then, and gained their maximum strength."
"More leakage may occur" - as I suspected - "because of the greater abdominal pressure".
But I could simply wear a more absorbant pad to start with. We shall find out.

Also, the Anti-embolism stockings: YES! He said I could stop those now. (it's been just over 1 month since my surgery)

Follow-up PSA test at 3 months, then further consultation - at present, it appears to be booked for Monday 29th June. I might try to get that brought forward a bit.

31st March 2020 - general progress
So how's things progressing?
Well, all glues & stitches off, except one just above naval, where the glue is mostly loose.
Continence:
Much improved! Needing inly one light pad at night, and another in the day. ("Light" corresponds to the 3 drips symbol")
Doubtless mostly a result of my doing plently of
Squeezy excersises. Now I do 5 per day.
It's likely I will return to a reasonably good level of continence in the next few weeks, and within a month may need only one light pad per 24 hour period.
Managing more excersise: walking in excess of 3 miles per day. Remember: at the time of writing this, all of UK is in lockdown due to Covid-19. So this becomes my one "rationed" walk per day!

I will pause here, to give God thanks - that my surgery was performed, my catheter removed, all before the Covid-19 UK lockdown.

I had planned on returning to work yesterday (30th March), but I'm effectively benefitting from a very extended period of recouperation!
Only down side is I've been laid off work.

16th March - my continence
Encouraging. Only needed a nappy the day my catheter was removed (12th March - see below). Wore one that night in bed, but it was still dry in the morining!

Been doing the Pelvic Floor excersises. The NHS App, 2.99GBP when I bought it, is very handy, it does help you keep track of the excersises. "Squeezy For Men" Obviously, on a mobile device, search on your apple store or google play.

Today, I'm trying to see if I can manage the day with just a level 2 pad. Mostly, I leak slightly when I cough, stand up or blow my nose. Not leaking other than then, for which I'm thankful. Hopefully, I'll be fully dry sometime in the months to come.

Wounds - glue starting to curl off some ot them. Today, one was holding on only by one stitch - cut that with wire cutters (my risk!); all ok, wound joined with no seeping.

14th March
So - because of my decreasing sodium level, went for a walk and bought 2 jars of anchovies, packets of hoola-hoops, and salted peanuts. (My normal diet is to avoid uneccesary salt!)


"I spoke to Andrew over the phone today as we have converted all our clinics to telephone calls due to coronavirus.

Andrew had previous HIFU and cryotherapy for his prostate cancer. He underwent a robotic prostatectomy on February 27 and I am pleased to report that he is doing very well. His final histology revealed a Gleason 3+4 cancer, which was organ confined and clear margins were achieved.

From a functional point of view, he is down to just two small pads a day. He has some day time leakage with coughing and sneezing, but is almost dry at night. I expect this will continue to improve. Unfortunately he has not yet had return of erectile function, but we will continue to monitor this for now.

We will speak to him again in around 6-8 weeks time after a PSA test. He may have this done locally if he cannot get into UCLH easily."

12th March 2020
Cystogram was very thourough - performed at UCLH (been unable to find a better web link to the details - please let me know if you do!).

I was able to see the x-rays of my bladder on the screen.

They were checking that the point at which the surgeon had re-joined my urethra at the neck of my bladder had healed well. During this time, the nurse needed to push the catheter further into my bladder. When it was difficult, she asked if I minded her pulling back my foreskin! Ok, a bit of a fun thing to mention for you! I also advised her to try lubricant, which also helped with pushing the catheter in.
When they were eventually happy with the
cystogram results, they removed my catheter.
So I sat up on the x-ray bed, and immediately started to leak!
I was given a nappy and a towel.
Then, spent a few hours in the canteen drinking coffee and juice so I could prove I could void (pee) ok.
No problem there - was slowly leaking into the nappy anyway!
Within a day or so, I only needed incontinence pads, not nappies. Since locally sourced incontinence pads are a bit expensive, I've taken the nurses advice and now use Boots own brand. Started with the
Normal, but see above for more recent improvements.

27th February 2020
Praise God! By Monday (24th) lunchtime, I'd arraged my surgery for Thursday that week!
And again thankful! I was first on the list.
Recovery: very painful - ended up on a jab of Morphene (lovely experience!)
Came home next day - most uncomfortable UBER ride over the speed humps - the car was ok - but because of my surgery, I felt every slight bump!!
Been impressed with how quickly the surgical skin wounds from the robot stopped being significantly painful.
Now on the recovery route (as of 7th March)

Have to give meself daily injections (ouch!). Pre-loaded syringes of enoxaparin thromboprolaxis.

Cystogram (to check for leakage where he's sewn my urethra back together) and if ok removal of catheter: on Thursday 12th March.
Will then see if I'm dry (continent) or not.

I have had a relative staying with me this week and last, so that's a great help. Been for a few short walks (about 500m) with them. Also just about managed to sit through a 1-hour piano concert on Saturday 7th March. Am using a pressure relief ring cushion that helps greatly.

Planning on going over the road to a local Church later this morning (Sunday 8th March).

Catheter experience: this is the 3rd catheter I've had to have, must say is the most comfortable so far! Possibly different catheter material?
Also, when I asked for a method of securing it at the top of my thigh, they used a
stabiliser.
Gave me much more confidence, particularly as this time the catheter was in for 2 weeks.

21st February 2020
Had consultation with
Dr Senthil Nathan. Told him I'd decided on his surgical option.
Then saw
Heather and hugged and thanked her for her help in all this. Yes, It's quite an emotional experience!
Dr Nathan said he'd requested a surgical appointment.

7th February 2020
Started the day at 9am at Hallam Conference Centre 44 Hallam Street (just minutes from Great Portland St London)
A good presentation by
Surgeon Greig Shaw (Their "medical school").
Went through details of Radical Prostatectomy using the Da Vinci Robotic machine. Also passed around a few of the probes used in patients.
Allowed for interactive questions, of which I provided quite a few!
Then a presentation from two clinical nurse specialists who dealt with pracical issues such as catheter and the injections they send you home with to use to prevent blood clots.

Then onto my consultation with surgeon
Dr Senthil Nathan. Bit blown away with the details. First time I've spoken to a radical surgeon for over 5 years!

Then to oncologist
Heather for my (now) second consultation. Because I was still undecided re Surgery or Radiotherapy she said she wouldn't give me the first hormone injection as originally intended. (It would have made surgery more difficult if I chose that). Instead, I'm continuing on the (milder) hormone tabs (Bicalutamide 50mg 1/daily) which are also halting any growth in my cancer.

I'm seriously considering surgery now - but then, I seem to change my mind every two days! Good reason indeed, for me to make this a matter of prayer. Surgery does sound far more elegant than the grueling hormone & radiotherapy route, with it's possible permanent bowel and/or rectal issues.

But I am very fit, which I figure will be a bonus for recovery and return of continence if I choose surgery. Because I've already had HIFU, I'm kind-of resigned to being impotent after either treatment I have. But we will have to wait and see.

I have a surgeon consultation this Friday 21st February in the morning then with Heather in the afternoon. I'm preparing questions for each of them to try to clarify things before my decision.

Will update this blog soon, and include my final decision of this coming Friday 21st.

31st January 2020 Consultation with Prof Heather Payne.

The focal therapy is over. Now begins hormone and radiotherapy.

My hope that my apparently-decreasing PSA (see below) over recent months, would mean we could "watchful-wait" and "hope" the cancer might go away: she said that "the biopsy trumps the MRI".
- see below, 7th January. This is what I expected to be likely.

Hence, the cancer does need treating, and the only options at UCLH now are 1. Radical Prostatectomy (surgery), 2. Radiotherapy
She confirmed the general medical consensus, that
Radiotherapy appears to result in less likelyhood of lasting problems afterwards, than does radical prostatectomy.

This is one of many articles that deal with this

I'd already made up my mind that I'd prefer radiotherapy.
The downside is that it's several months of treatment and side-effects, whereas surgerty is over in one day, although recovery can take weeks.

Result: Hormone Therapy has started now: Heather prescribed me hormone tablets Bicalutamide 50mg 1/daily.
I'll then return next Friday (7th February) for my first hormone injection.

I told Heather, again, of my dissapointment that hormone therapy won't make me into a soprano (I sing bass at the moment) (!)

Radiotherapy to start July.
Heather agreed that I've managed to postpone this moment for 6 years with focal therapy.

But she would still like me (and I'd also like) to understand a bit more about surgery.
So my very busy Friday 7th February will have this programme:

8:45am group presntation about surgery
12:20am discussion with a surgeon
13:30 first hormone injection with Heather

As I see it, I could still change my mind and have Radical Prostatectomy right up to the time before my Radiotherapy starts probably in July 2020.

Summary of PSA over recent months

My readings to date:

9 Nov 2018

14 May
2019

21 June
2019

Sept 2019

4 Dec
2019

5.2

HIFU

5.9

5.3

4.8

20th January
I told my MD how God's timing had worked out the timing of the previous three days, 15th - 17th January!
I told her about the likely treatment, how it may involve the 2 hours each working day, during the later 7-8 weeks. She then spoke to my boss and the workload planner to summarise how it would affect my working hours.
Basically, it will probably involve 2 hours off work for the 7.5 weeks.
But that's why I chose the UCLH hospital all those 6 years ago - it's conveniently near to my office

17th January 2020
Consultation with
Prof Heather Payne
Was told that radical prostatectomy was probably not ideal, because of the small prostate.
Radiotherapy probably best treatment.
Given details of it - I was told it'd be around 10 months
hormone therapy, with the radiotherapy starting around 3 months in. The hormone treatment involves only a montly injection/implantation of a pellet, pobably done at my GP clinic.
For details of the radiotherapy
click here.
I asked abou the Proton Beam Therapy - a new centre opening there later this year.
I was told there's no advantage in protons over radiotherapy for prostate treatment.
Brachytherapy - they do only
whole gland, and that needs a solid prostate, which I don't have, after having had 2 lots of focla therapy.
Heather said her team would discuss me at their next Friday meeting (24th January), when they meet with my previous focal team to discuss patients.

16th January 2020
How God overrules!
When I told my company the not-so-good news, both the MD and CEO called me in to his office.
They expressed concern, and offered to help in any way they could.

15th January 2020
Consultation - very pleased that I was seen by Prof Mark Emberton!
But news not good; but honestly probably what I suspected.
I have low-to-mid grace cancer in the right hand side, (enhanced area) gleeson 3+4, 6mm. Left hand side (previously treated area) is clear.
See my
latest MRI scan.
"No further focal therapy is possible. My prostate is now tiny. The cancer is too near the sphincter."
"You're making new cancers."
Well, I am an electronics design engineer, but didn't realise that at the same time, I was making new cancers also!
He referred me to the radiotherapy team. Appointment arranged to see
Prof Heather Payne on Friday 17th.

10th January 2020
PET Scan at
UCLH Nuclear Medicine
Very well organised: was called in slightly before appointment time.
[18F]PSMA-1007 injection, 1 hour wait in the
small cubicle (I joked on Whatsapp how it was like being confined to a cell 'cos I was radioactive!), then a bit over 1 hour later the scan.
Lovely
new scanner
Took two diazipam sedatives (GP prescribed) because I'm calustrophobic.
Most uncomfortable part was having my arms above my head throughout the scan - see the straps at the grey headrest on the table.

Follow-up appointment on Wednesday 15th January.

7th January 2020
Template Biopsy at
UCLH Cancer Centre
Dr Thomas Collins said he'd be sampling more than just the
enhanced area.
Went very well: arrived prompt for 7.30am. was in theatre a bit before 9am.
During recovery, more comfortable than after previous biopsy.

My observation: my PSA seems to have slowly decreased over 6 months: 5.9, 5.3, 4.8 (see below). So, it could simply be that it's doing so slowly. This may be one indicator that there isn't significant cancer still in my prostate.The biopsy above will show more precise detail.

4th December 2019
Consultatioin with
Caroline Moore
Summary:
My MRI of 6th November "
has shown some enhancement on the right side of the prostate"
For further details of this consultation including MRI image
PSA test returned 4.8

click here

Template biopsy now booked for Tuesday 7th January 2019

Wholebody PET scan booked for 10th January 2019

27th September 2019
PSA test returned 5.3.
Emailed the UCLH Prostate Cancer Clinic Nurses, told them Dr Thomas had previously said they'd probably re-MRI if my 5.9 PSA figure hadn't dropped below 4 by Semptember.
They said they'd review me at their Weekly Monday Meeting.
I then had an MRI at UCLH on 6th November.
I now have a follow-up appointment arrnaged for the morning of December 4th at UCLH, Westmoorland Street.

19th July 2019
See link below for more explicit details of my progress, including Dr Thomas' consultation letter.

click here

10th July 2019
MSU result normal.
Consultation at UCLH
Seen by Dr Thomas Collins.
He wasn't surprised by my increased PSA (see below).
I'll ask my GP for another PSA test in September. If the result is not lower, then I'll try emailing UCLH to see if they'll give me an earlier consultation than the one he arranged for June next year.
I'll get a separate appointment for an MRI in May 2020. It's possible I may be given an earlier one if my next PSA level hasn't decreased.

Since I haven't had any recurrence of cancer in my RHS that was treated, I asked him if it's equally likely I won't get a recurrence in my LHS. His comment was that "there's a 1 in 4 chance of it recurring after treatment".

5th July 2019
MSU sample provided.
No results as of 9th July.
Hopefully will have before my consultaion tomorrow, although I don't think it'll influence what the surgeon says much.

21st June 2019
PSA blood test done; result 5.9
This is up from my November 2018 figure of 5.2
A week later, GP refused a re-test within less than 3 months - "It won't have changed yet".
But they did agree to an MSU (MId- Stream Urine) test

I queried this with UCLH hospital.
The Clinical Nurse Specialits emailed me back:
"The PSA can still be high at 3 months post HIFU due to some swelling of the prostate. We usually just check again at 6 months and if not down then would consider an MRI at that point. I think an MSU is a good idea
It's always best not to cycle or have any sexual activity for 2-3 days before a PSA test also" (First time I'd heard that!)

4th June 2019
Retention re-test: now only 82ml !
Praise God for that! The threshold figure is 100ml.
Good that my anxieties about needing a lifelong catheter are no more!

24 May 2019
Finding voiding sometimes a little painful.
I contacted the Clinical Nurse Specialists by email (supplied in their info booklet on discharge) and asked about it:
"Is it normal to sometimes experience a little urethral pain when voiding?"
"Yes it is on and off for 6 weeks. If there is a lot or the urine is smelly take a sample to the GP for them to test"

21st May 2019
At trial without catheter (TWOC) clinic.
Catheter removed, pretty-well painless.
Then: around 3 hours of recording drinking and voiding (pee-ing)!
Voided volumes good, but retention (post-void residual, PVR) measured at around 170ml, which is a bit high. No better after voiding 30 minutes later.

Discussed with nurse, and arranged an informal (no appointment required) re-visit to her at TWOC clinic in 2 weeks time (4th June) to re-check PVR. "Just knock on the door at about 11am".
She said HIFU does cause the prostate to inflame initially more that cryo; in earlier years, some patients were re-cathetered, but not now.
Concern is too much retention could cause bladder infection.
Hopefully, retention will decrease to an acceptable level (around 100ml) within the next 2 weeks. It'd be tedious to have to take lifelong medication, and I don't relish the idea of another catheter.

Additional observation: I've been passing a small fragment (presumably of my ablated area) each time I void.

14th May 2019
Had
HIFU at UCLH Cancer Centre
Was seen farly promptly after my 7:30 admission; whole procedure was finished just before 11am, after which time I was in recovery then settling in the ward.
Before the procedue, I asked the surgeon to ablate only as much as necessary. She said she'd try to leave the very left side (near my prostate edge) not ablated.
Most uncomfortable part is now at home, with a urethral catheter for 7 days.
Time will tell how effective the HIFU has been, both from a follow-up MRI (in 1 year's time), 3- monthly PSA tests, and also over the months as to continence and erectile issues.
Catheter due out on Tuesday 21st May.

I enquired via email to a UCLH Uro-Oncology Nurse Specialist as to why I wouldn't have an MRI a few weeks after my HIFU, like I did 5 years ago after my Cryo. (Scroll down a bit to see those MRI scans and the one titled "18 days after cryotherapy").
I was concerned the ablated area would not be visible in 1 year's time.
They told me:
"We don’t routinely do MRI after HIFU like we do after cryotherapy , we can still see the ablated area after 1 year".

Now, I assume that either the ablated area won't shrink or that their definintion of we can still see the ablated area after 1 year really means the "black hole" will be visible or only scar tissue, remains to be seen.

Next appointment after my catheter removal: 10th July in clinic for, presumably, a review. I've booked a PSA test at my GP's for Friday 21st June.

20th March 2019 Consultation with Prof Caroline Moore, at Westmoreland Street:
Cancer confirmed at the two points that were highlighted on the MRI.
I have 5mm posterior of gleason 3+4, 3mm anterior of gleason 3+4.
Click here to see the now annotated diagrams.
Click here to see the histopathology report.

The way forward: I was given the option of radical prostatectomy, radiation or HIFU. I would like to retain my prostate for as long as possible, so I've chosen to have HIFU. Waiting confirmation of surgery date.
I asked about Cryotherapy again; I was told, as I suspected, that Cryo could not be done in the posterior area, since it's too close to my rectum.
Caroline did mention that if I
did
subsequently need a radical prostatectomy, it may be more difficult to ensure no cancer remained outside of my prostate. However, HIFU is the route I've chosen.

I'm also hoping that this HIFU may mean I won't ever develop significant prostate cancer again, although I accept that this cannot be guaranteed.
Caroline said that I would have a left hemi-ablation, in other words (I assume) the left of my porstate will be destroyed. This should destroy both my anterior 3mm and the posterior 5mm cancer.

Click HERE for explanation of HIFU
Click
HERE for my now annotated MIRI report.

Friday 22nd February 2019: Template Bipopsy performed by Dr Thomas Collins on the NHS at McMillan Cancer Centre
This is a really nice, fairly new building.
I was told after recovery that 8 samples were taken (this requires verification at the follow-up consultation, I might have heard wrong in the ward).
This is much less than in 2013, where
24 samples were taken. On that occasion, there was a clearly defined, very likely tumour visible on the MRI.
But this year (2019), I assume only 8 were taken because there was not a very likely tumour visible on the
MRI.

Sedation: Before my biopsy, I was concerned when I was told by the anaesthetist that I would not be having a general anaesthetic, but instead deep sedation. I was worried I'd be aware of what was going on during the biopsies.
I needn't have worried: I was "out" just as if I'd had a genereal anaesthetic. As with a general anaesthetic, the next thing I knew, I was waking up in recovery.
The main difference is that you breath yourself, and don't require ventilation as with a general anaesthetic.
This deep sedation is probably more suitable for very short procedures such as this biopsy.
Another interesting detail is that, when I told the anaethetist I vomited after my last general anaesthetic (a common recovery effect), he said he'd give me anti-nausea medication as part of my wake-up drugs.

Now waiting for follow-up consultation appointment.

Update February 2019
Because of forecast of heavy snow, managed to re-arrange UCLH consultation for 1st February as a phone consultation at the same date & time. Apparently they do that often - many of their patients live far away.
The consultant,
Clement Orczyk, Said he would request a Template Biopsy for me. I subsequently had a pre-assessment on 6th February.

Update 5 December 2018
MRI results are indicative of possibly significant cancer, but will only be sure if I have a biopsy. Professor Caroline Moore at Londn Urology Associates has written to my GP, asking him to refer me back to her team at UCLH NHS hospital for a Template Biopsy.
She did say we could monitor my PSA on a 4-monthly frequency, but because the pattern of steady increase in PSA is in keeping with that leading up to my previous diagnosis, I've elected for a biopsy.
Also, regarding the supposedly higer PSA value threshold for someone my age (65), Caroline said that does
not apply to someone like me, who has had prostate cancer before.

For a full report from the Medical Imaging team, click here. This will open a new browser window.

Update 9th November 2018 - PSA 5.2ug/L
GP said to re-test in January, since for my age, 65, the threshold is supposedly 5.0, not 4.
However, I expressed concern that the steady increase over the past few years is in keeping with the values I had leading up to my diagnosis in 2013. Hence he agreed to refer me back to the urology team. I've chosen to start, as I did in 2013/2014, with the private clinic at
Harley Street. My insurance will fully cover the consultations and MRI (if I have one). If I need further tests/treatment that they will only do at Princess Grace Hospital, then because that hospital isn't covered by my insurers, I'll probably ask to be referred back to the team on the NHS, at UCLH.

COMPARISON OF PSA TREND POST-PROCEDURE, WITH with PRE-PROCEDURE TREND

Procedure date: 21st April 2014

My Post-Procedure readings to date:

May 2015

Jan 2016

June 2016

Feb 2017

Oct 2017

Dec 1017

Nov 2018

2.54

3.22

3.7

3.6

4.5

4.0

5.2


My readings prior to my procedure in 2014:

2009

2011

Mar 2012

Jan 2013

June 2013

Jan 2014

2.61

3.94

4.19

4.93

6.2

5.8

IMPORTANT!

This TREND in PSA readings is the IMPORTANT thing to monitor. A SINGLE PSA READING is not sufficient, it can be unreliable.

I've a consultation appointment at Harley Street on Monday 3rd December.

Update 4th December 2017 - PSA 4.0ug/L This is considered as "normal" on my GP report, "no action needed". My conclusion: although it's good that I don't need to take any action, the trend over the last 2 years is upwards. It may be that this will be the last time it will be 4.0ug/L or less. We will see.

Update 13th October 2017 - PSA 4.5ug/L This is slightly above the ideal threshold of 4.0. However, based my "Hospital consultation at UCLH" about 1 year ago, (see below) and chatting to my GP, I'll have a repeat PSA in a few months time. And soon I'll provide a Mid-Stream-Urine specimen.

Update February 2017: PSA 3.6ug/L. This indicates that the cryotherapy is remaining effective - the cancer tumour appears to have been effectively destroyed, with no evidence of recurrence.

Update June 2016: PSA 3.7 ug/L

Update January 2016: PSA 3.22ug/l. Prostate volume 23cc

Hospital consultation at
UCLH Westmoreland Street (This is the new loacation of the Urology department. It is no longer in the Cancer Centre in Huntley Street.) : My cancer is now stable, no evidence of any significant prostate cancer,
Recommendation: Remote Surveillance. Get 6 monthly PSA test done at my GP. If it goes above 4, then also do Mid-Stream-Urine test, to check for an infection that may be giving the higher reading. No need for another MRI provided PSA remains below 4, see above.
[My understanding]: Repeat PSA 3 months later. If still above 4, then go back to the hospital for advice.
Note: a 6 monthly PSA test should be mandatory for every man aged 50+, see my notes at the beginning of this blog.

I've put 3 MRI images taken in November 2015. Compare these with my earlier ones below that, from 24 November 2014. Whilst not commenting specifically on these, the consultant said that the overall MRI had not revealed any significant (observable) prostate cancer.
[My observation]: I'm at
no more risk from prostate cancer than any other man my age.

PSA result, May 2015: 2.54. This is a slight reduction from 3.1 measured in November 2014.
So, it's a trend in the right direction.

[the following notes added on 24 November 2014]
18-day and 7-month MRI and PSA comparison - see image below.

Explanation: my prostate is roughly outlined in RED.
The original location of the tumour is roughly outlined in YELLOW on the 18-days image.
The ablated area is outlined in GREEN on the 18-days image.

These results show:

The ablated area has shrunk to (I presume) no volume at all.
My prostate volume has reduced by 5cc, which is pretty close to the 5cc volume that Emberton estimated would be ablated.
My PSA has rougly HALVED. The present PSA of 3.1 is within the range expected for a man of my age (61 years) who does not have significant prostate cancer.

My conclusion: Success! Cancer treated*.
Side effect: reduced ejaculation.
Future plan for tests, surveillance: to be discussed on 10th December with Emberton.
Watch this space! better still,
check my latest results.

*The significant anterior tumour has been treated. I am not experienced enough to recognise any remaining lower-grade cancer by looking at the MRI image.

Update 10th December 2014: Had follow-up consultation with Emberton.
He said that it was "all good!"
See below for his dictated letter which gives a precise statement of his observations.

He said that there was scar tissue, outlined in the 2nd image above in BLUE. I guess this is the left-over bit of the ablated area, see the 1st image above, outlined in GREEN.

He did not make any comments about any further cancer being visible, probably because my PSA now of about 3 does not suggest there IS any significant cancer. Remember: all men my age will have some very low-grade prostate cancer, but it will probably never grow fast enough to catch up with them as they age.
There is even talk of
not considering low grade prostate cancer as cancer,
see this link.

The future: I am to organise 6-monthly PSA tests throgh my GP. If my PSA goes above 4, then I am to contact Emberton again.

He has arranged another MRI scan for me in 1 years' time (November 2015).

Note that the 6-monthly PSA tests are what I was having for several years before my diagnosis of cancer.
As I say at the beginning of this blog, it's very advisable for
all men over 50 years old, to start having 6-montly PSA tests and continue them for the rest of their lives.

A graph of my PSA is shown below. (The best graph I could make; my PSA probably dropped much faster than the slope shows, from a figure of about 6 before my cryotherapy, to a figure of about 3, soon after my cryotherapy that I had in April 2014).

My PSA steadily climbed over the years, until it reached about 6.
Then, the cryotherapy knocked it down to about 3 again.
If it climbes again above 4, then I'll have further tests. If necessary, repeat treatment will be given.
However, it may well be that any remaining low-grade cancer will never develop in my lifetime to cause any trouble,
see this link.

This report above is the very latest update to this blog. Apologies again for it all being a bit disjointed! I'll get round to re-writing the whole page someday!

Update February 2015: Regarding "...a change in the quality of the ejaculate" mentioned above: as mentioned elsewhere, my ejaculation diminished to zero about 4 months after my cryotherapy. However, a very little ejaculate does appear after orgasm.
Emberton is probably familiar with this process in some patients, hence he would classify this as
"diminished ejaculaion", and not "zero".
My erections and sexual desire remain good and unaltered.


Update January 2015: Just received my copy of Emberton's consultation letter.

"....he has done fantastically well with almost no toxicity. The only thing he has noticed is a change in the quality of the ejaculate, which we would expect, treating in the anterior component. His PSA is now steady at 3.1 mcg/L and the MRI shows no residual disease on the late [24 November 2014] scan. We would recommend PSA's on a six monthly basis and look forward to seeing him in December 2015, with an MRI beforehand."

 

 


 

Post-surgery (and post MRI) consultation on 28 May 2014

Surgeon had already said the post-surgery MRI (one picture I sent him) looked good. This was an initial MRI scan, only 2½ weeks after my surgery. The one in November will give a better idea of the status of any remaining cancer.

Since then, he'd had an opportunity to look at the whole set of post-surgery MRI images.
He said that these preliminary images suggested that the significant cancer had been destroyed (ablated).

Unlike Prof. Emberton, he couldn't bring up my MRI images on his consulting room computer.
So: before my next MRI, need to see if I can find a DICOM viewer for Android.....(!)
[13 June 2014]:
found a DICOM app for android! "Simply DICOM" it's called. Can see clearly the ablated area. Wish I'd had this for my consultation 3 weeks ago! I'd have been ahead of the surgeon!
So from now on, we can discuss my MRI pics using my phone!

The ablated area is the dark area.

He also said that it was originally significant, and did not fit into the category of being able to be left untreated for surveillance.

"Anyone", he said (meaning "any" urologist), "would have taken action". This is because the maximum cancer core length was 12mm, a significant size.

The ablated area extended significantly below where the anterior tumour had been (see annotated sketch - original tumour outlined in red).

Commenting on this, he said:
"The ice-ball (produced by the cryotherapy) would have done that". Basically, that's the best precision that could be achieved.
But an advantage may be that it may have also partially destroyed the peripheral 3 + 3 cancer on the right hand side, (marked as a green area). Even though I had asked him not to, the cryo could not be controlled precisely enough not to destroy that.
I must admit I was in two minds as to whether I should have asked him
not to destroy that 3 + 3 also; well, maybe it's happened now!

My second post - op MRI scan and first post-op PSA blood test to be done in November.

Regarding slight leakage when "busting" for the loo: he said that should improve with time.

The surgeon said that I am now over the main, initial recovery period.

Please see the section above for my latest results.

 

Hopefully, I'll be updating you with how I get on over the coming months and years!

 

For more details of my experience (some explicit and intimate), click HERE

Useful Links

For men recently diagnosed with Prostate Cander - a VERY helpful community blog. click here
To see the Webcast where Prof Emberton answers viewers questions, click here.
Then, search for "Live interview with Professor Emberton"
NanoKnife is mentioned in the video at the 19 minutes slider position.

Prostate anatomy drawings:

click here

For the Nano Knife trials info sheet,

Please note: as of August 2014, these Nano trials at UCLH have finished, but the study continues.

    

For more info on the UCLH Cancer Centre,

click here

For more about HIFU,

click here

For the ORCHID "fighting male cancer" website,

click here

For Mark Emberton and Caroline Moore's NHS details at UCLH,
(See also
below)

click here.

For the Pelican Cancer Foundation,

click here

A wealth of research information!
Features UCLH and HIFU, etc.
click here

For the "HealingWell" forum site,

click here

For London Cancer website,

click here

For the UCLH patient info sheet for Cryotherapy,

click here
   

 

The NHS UCLH Urology referral address is:

You need to be referred by your GP. Under the Patient Choice option, you can ask to be referred there even if you do not live in the central London Area.

This is your right, click here
to see my referral letter.

Recently changed:
Upper Ground Floor, Outpatients,
University College Hospital at
Westmoreland Street
16 - 18 Westmoreland Street
London W1G 8PH

Nisma Akhtar is PA for Emberton and his team:
Telephone 020 3447 9194
or 020 3447 9485 (main dept)

Emberton and Caroline Moore's Private referral address - click on the link on the right
Note: if you're thinking of having private treatment under Emberton, check that your insurance covers the imaging place and the hospital that Emberton uses.
I opted out of private treatment after my TPM Biopsy, and had my final cryo done on the NHS,
as I explain above.
Also, for a private consultation with Emberton, you don't have to be referred by your GP (as you do for NHS UCLH).
If you are self-funding, you can simply go along and
refer yourself.
Otherwise, check with your insurance first.

Back to top

Got any comments? Contact me using the button on the right:

 

Press articles

Different!

Shows the advantage of early diagnosis. This man had no symptoms of Prostate Cancer

Mr Bartram said he [only] discovered he had early-stage cancer when he visited a doctor about his injuries.

See Royal couturier David Emanuel's Mail online article
"Andrew Lloyd Webber's honesty about prostate cancer saved my life"

Note: thankfully, because my cancer was diagnosed early, I didn't need my prostate removed.

Read about the late Bob Monkhouse campaign

Not sure how to interpret this BBC article! Perhaps it reflects the fact that many men still aren't benefitting from the greater accuracy of the MRI & TPM Biopsy test, or that even that can't predict how aggressive the cancer is.
I admit that it appears uncertain how quickly my anterior tumour would grow, if it were left alone.
But see
consultation above.
Pity it doesn't even
mention focal therapy!

BBC Health:
Prostate cancer tests miss severity in half of cases

 

Focal therapy is an amazing treatment.
However, it can still only cure my body until it will
die anyway.
But praise God: I'm assured of eternal life because I believe in the atoning work done by Jesus Christ, when he died for my sin, and rose again!
You too can have this same eternal assurance, if you believe!

Free Bible app!

        
iphone         android

Prefer a Free printed bible?
https://www.gideons.org.uk/enquiry/Bible request

aaaa     bbbbb

For more details of my experience (some explicit and intimate), click HERE

 

Surgical jokes