|
| This page contains a summary of my experience, plus some more intimate and explicit details. |
Quick links
Recommended
route for all men aged 50 or over:
1. Have a PSA blood test at least once
a year.
2. If the value is above 4, then repeat every 6 months.
3 If, over 1 to 2 years, the value shows a steady increase, then:
4. Ask for a Prostate MRI scan.
The videos below discuss precision biopsy and Hifu treatment.
Warning: contatins some graphic content
The
limitations of HIFU as a focal therapy for my particular type of
prostate cancer
Focal therapies, definition: these try to focus on the significant cancer area only, as opposed to a radical prostatectomy. In the latter case, the whole porstate is removed, which can lead to more serious after-effects than focal therapy. The
limitations of HIFU (or perhaps ANY method) as a focal
therapy HIFU
is shown being used at UCLH on one of 2 prostate patients
in a "Curing Cancer" documentary on Channel 4,
towards the end of the documentary. The other prostate
patient tests as not having cancer. See
the links section. However, because of the reasons mentioned above re. a large area of my prostate being affected, I've now chosen Cryotherapy treatment instead. (I like to call it "the Brass Monkey Treatment"!) Emberton also agreed that treating the anterior tumour alone, would improve my chances of preserving erections. The manufacturer's video below gives a vague idea of how Cryo treatment works. This "Galil" kit is what UCLH use. Note: Cryo gives very similar results to Nano Knife: they are both focal therapies. [November 2014]: I've recently learnt that the medical term for these sort of therapies is "interventional oncology". There, now you (and I) know! The above video appears to show whole gland therapy, rather than the focal therapy I'll have. Emberton says I should end up with only about 5cc of my prostate ablated, which sounds "pretty good", should leave around 23cc of my 28cc prostate! Unless, I can come up with a more precise therapy! For a reasonably detailed article on Cryo by Fuda Hospital, click here For the UCLH patient info for Cryotherapy, click here I had the cryo surgery on April 22nd 2014. To read how it went, - click here |
"Dry Climax" Side effect. Only recently
noticed reference this in one of the UCLH Patient
information sheets. It says: "50% chance of the side
effect of dry climax". So, my question for the sugical team before my Cryo next week will be: "Could this be a temproary side-effect, or permanent?" I suspect the answer will be: "Could be either". I had the opportunity to ask Manit's consultant about it on April 1st. That was the original date for my Cryo, but it was cancelled because another (probably much less fortunate) patient before had complications in theatre. He told me: "Yes, it's 50:50. It's because semen may no longer be prevented from going into the bladder. You've heard of the "TURPS" procedure? Well, with that, the dry climax side effect is always 100%." Update: see bottom of "Surgery experience" section below. |
|
| Updates extra details (some explicit) - most recent listed first |
Cubicle

The new PET Scanner

It was a
pleasure to see Andrew in clinic today. He had cryo
therapy for right-sided prostate cancer in 2014 and then
had HIFU to the left side of his prostate in May 2019.
There was Gleason 3+4 disease in anterior and posterior
lesions on the left and both of these were treated at the
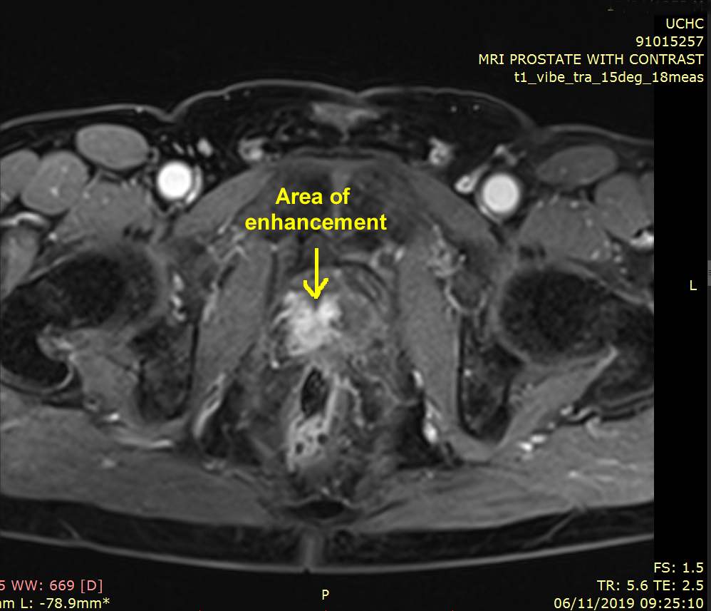
same time. Showing the enhancement on image from my November 2019 MRI |
My
consultation of 10 July 2019
with Dr Thomas Collins (he's the surgeon who performed my
Template Biopsy on 22nd February). My additional
observation to date (19th July 2019): However, in the last few weeks, my ejaculation has returned to my pre-HIFU amount, which is not much - enough to wet the outside of my penis. It may reduce again, I don't know. It's probably an idicator that my prostate is still settling down after the HIFU. (Early August 2019) - this may have been a one-off; ejaculation is now back to zero except for a little appearing about 10 minutes later. This is now as was predicted before my HIFU "ejaculation will probably be zero" |
|
| Hopefully, I'll be updating you with how I get on over the coming months and years! |
Useful Links
|
|
Press articles
|
|
Focal therapy is an amazing
treatment. |
Free Bible app! |
aaaa bbbbb